+62 817-4929-054
Penanganan Kanker tulang
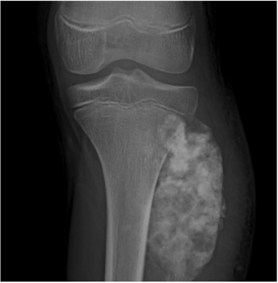
Kanker tulang merupakan jenis tumor tulang ganas yang berasal dari sel-sel tulang. Kanker ini dapat terjadi pada bagian tulang manapun pada tubuh manusia, paling sering terjadi pada tulang panjang dan dekat dengan sendi lutut, panggul, dan bahu.
Osteosarcoma adalah sejenis kanker tulang primer terbanyak. Kanker tulang jenis ini berkembang di sel tulang lengan tungkai dan panggul, paling sering terjadi pada anak-anak dan remaja. Oleh karena itu, penting untuk juga memperhatikan kesehatan anak-anak dan remaja.

Gejala Kanker Tulang
Terdapat 3 gejala utama pada kanker tulang, diantaranya adalah:
1. Nyeri pada tulang
Pada area yang terkena kanker, biasanya akan terasa nyeri. Awalnya, nyeri hanya terasa sesekali, namun seiring berkembangnya sel kanker, rasa nyeri akan semakin sering muncul. Perlu diketahui bahwa rasa nyeri ini akan semakin terasa ketika bergerak dan biasanya memburuk dimalam hari.
2. Bengkak Pada Daerah yang terkena
Pembengkakan dan peradangan terjadi pada area terkena kanker. Pembengkakan ini dapat meyebabkan kesulitan dalam bergerak, mengangkat beban atau berjalan.
3. Tulang Menjadi Rapuh
Kanker yang berkembang pada sel tulang menyebabkan tulang menjadi rapuh. Jika Stadium kankernya sudah parah, cidera ringan saja dapat menyebabkan patah tulang.
Beberapa gejala lain yang juga mungkin dialami oleh penderita kanker tulang adalah tubuh menjadi lemah, adanya penurunan berat badan tanpa sebab, dan mengalami gangguan saat bergerak.
Deteksi Dini Kanker Tulang
Meskipun kanker tulang termasuk jenis kanker yang jarang terjadi, namun deteksi kanker tulang lebih dini dapat membantu memperbesar kemungkinan sembuh.
Beberapa pemeriksaan yang dapat dilakukan untuk mendeteksi kanker tulang adalah,
- Pemeriksaan Radiologi dengan foto rontgen, MRI, CT-Scan
- Tindakan Biopsi
- Tes Darah dan penanda tumor
Penanganan, secara umum modalitas pengobatan kanker tulang ada 3,
- Pembedahan
- Kemoterapi
- Radioterapi
Contact Centre: 1 500 908
WhatsApp Chatbot Appointment: +62 8122 2309 911
dr. Sigit Daru Cahyadi, Sp.OT, Subsp. Onk. Ort. R (K)
Orthopedi & Traumatologi View Schedule| Loading data... |
|---|


